Update: Information regarding cyber incident. (December 2025)

20230117 122313

Heart Health Check - A simple scan that could save your life

When it comes to your heart, early detection of potential issues is key. One of the most effective ways to assess your heart health is through a CT Calcium Score, a quick and non-invasive scan that can provide crucial insights into your risk of heart disease.

What is a CT Calcium Score?
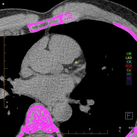
A CT Calcium Score is a quick, non-invasive scan that measures the amount of calcium buildup in your heart’s arteries. This calcium is a sign of atherosclerosis, or hardening of the arteries, which increases your risk of a heart attack.

Why is a CT Calcium Score Important?
Heart disease is the leading cause of death in New Zealand and worldwide. Many people at risk may feel fine but could still have silent signs of coronary artery disease. A CT Calcium Score helps detect heart disease early so you can take action before symptoms appear. For many people, a CT Calcium Score is a better predictor of your risk of a future major cardiac event than just taking your history and blood test results into account.

Who should have a CT Calcium Score?
A CT Calcium Score is recommended for asymptomatic patients who may be at increased heart disease risk, especially if you: 

✔ Are 45 years or older (males) or 50 years or older (females)
✔ Have a family history of heart disease
✔ Have high cholesterol
✔ Have high blood pressure
✔ Are a smoker or have a history of smoking
✔ Have diabetes (especially between ages 40-60 without advanced kidney disease)
✔ Are overweight or have an unhealthy diet
✔ Have been told you are at moderate risk based on a heart health assessment

This test is not recommended for those at very low or very high risk of heart disease, already have a diagnosis of heart disease, have diabetes with stage 3 kidney disease, stage 4 kidney disease, most people who are older than 75 years of age, or to explain the cause of chest pain.

Preparing for your Scan
To ensure the best possible imaging results, please follow these guidelines:

  • Pre-scan blood test: You will need to complete a full blood count, lipid test, diabetic profile, and kidney function test before your scan
  • On the day: Do not eat for at least 3 hours before your appointment, no coffee, tea or energy drinks and do not take medications such as Viagra before your scan


Following these steps helps keep your heart rate as low as possible to get the best scan results on the day.

What to expect during the scan
A CT Calcium Score scan is simple, fast, and does not require any injections or contrast. You will lie on a scanning table, and a low-dose CT scanner will take images of your heart in just a few minutes. The results are then analysed by one of our specialists, and a calcium score is provided. We may also provide you with an adjusted risk of a coronary event.

Your calcium score helps determine your level of risk:

  • 0             Very low risk (no coronary calcium)
  • 1 - 100       Low risk (mild plaque build-up)
  • 101 - 400  Moderate risk (significant plaque build-up)
  • >400       High risk (requires further assessment and management)


The higher your score, the higher your risk of a heart attack or other heart-related event.

        

What Happens After the Test?
Our expert cardiology and radiology team at Canopy Imaging will review your results and write a report to you and your GP.

Your GP will review your results and personalise a heart health plan. This may include:

  • Lifestyle changes (diet, exercise, quitting smoking)
  • Medication (such as statins or aspirin)
  • Further tests, if needed

 

What are the benefits of a CT Calcium Score?

  • Quick & Painless: Takes less than 10 minutes with no injections or contrast 
  • Early Detection: Identify problems before symptoms start
  • Personalised Treatment: Helps tailor prevention strategies in discussion with your GP
  • Improved Peace of Mind: Know where you stand with your heart health

 

Where can you get a calcium score done at Canopy Imaging?

Canopy Imaging, Kensington Ave, Whangārei
Canopy Imaging, Shakespeare Rd, Milford, Auckland
Canopy Imaging, Ormiston Hospital, Flat Bush, Auckland
Canopy Imaging, Haupapa Street, Rotorua
Canopy Imaging, Prospect Rd, Hastings
Canopy Imaging Palmerston North
Absolute Radiology, New Plymouth

Talk to your GP about whether a CT Calcium Score is right for you. Early detection could help you make life-saving changes and reduce your risk of a heart attack.  All you need is a referral from your GP.

At Canopy Imaging, our focus is you.  By providing detailed diagnostic imaging we can improve patient care and better treatment outcomes.

Book your appointment online today!